Che cosa è la TDC?
L’acronimo sta per Total Digital Concept ed è una tecnica messa a punto dai dottori Alessandro Zara e Piero Oggianu, insieme all’odontotecnico Vasyl Hvryliv. La filosofia della tecnica prevede che il progetto protesico sia la guida di tutto il flusso del lavoro.
Quali sono le caratteristiche fondamentali della TDC?
Predicibilità assoluta:
È l’unica tecnica presente con un flusso digitale ininterrotto.
Risparmio di tempo:
Meno sedute per il paziente e maggior ottimizzazione dei tempi.
Chirurgia senza stress e minor tempo sulla poltrona:
Velocità di esecuzione, chirurgia ed inserimento della protesi in un’unica seduta.
Confort per il paziente:
Chirurgia minimamente invasiva con micro lembi per favorire un post-operatorio ottimale.
Rispetto totale dei tessuti:
Le osteotomie selettive permettono il rispetto e il mantenimento futuro dei tessuti molli.
Materiali biocompatibili:
La protesi avvitata è in titanio composito/ ceramica per favorire un’integrazione completa nei tessuti.
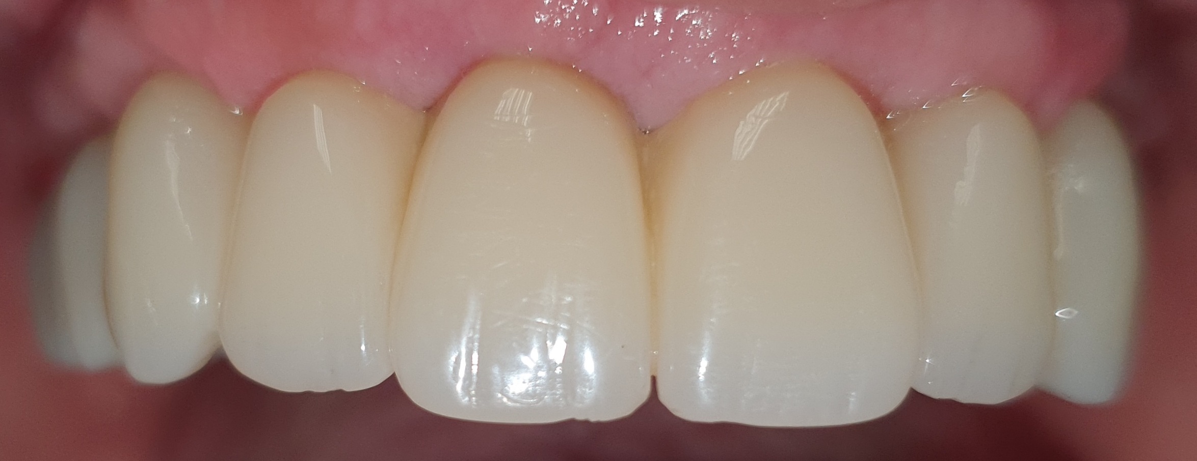
Resa estetica eccellente:
L’utilizzo di software di progettazione permettono di coinvolgere il paziente dall’inizio nelle fasi di progettazione, così da poter scegliere la migliore estetica possibile per riabilitare il suo caso.
Quali sono i passaggi per arrivare ad ottenere una tale precisione? Tutto inizia dalla prima visita, dove attraverso un’ esame clinico e radiografico, si cercherà di capire se il paziente è idoneo ad una chirurgia implantare. Successivamnete inizierà la seconda fase, la più delicata, dove saranno rilevate le impronte digitali, verrà eseguita una tac volumetrica, e successivamente verranno scattate le fotografie intra ed extraorali. Nel caso del paz edentulo verrà ribasata la sua attuale protesi e scansionata, in maniera tale da poter creare una dima chirurgica perfetta per la tac

Successivamente inizierà la fase di progettazione, dove un programma dedicato elaborerà tutti i dati acquisiti. Inoltre verra’ coinvolto il Tecnico, che svilupperà il progetto Protesico definitivo, da sottoporre ad approvazione del paziente prima dell’intervento

![]()

Dopo aver stabilito la nuova estetica del paziente, verranno progettati gli impianti e successivamente la dima chirurgica.


Al paziente non rimane che buttare finalmente nel cestino la sua vecchia protesi mobile o il suo vecchio ponte, in quanto questa tecnica ci consente di dimetterlo dallo studio con i suoi nuovi Denti Fissi!

Quale la nostra Mission?
Poter riabilitare il paziente nella maniera più predicibile possibile riducendo tempistiche, dolore post operatorio e garantendo una guarigione ottimale dei tessuti che verranno stabilizzati dall’inserimento immediato della protesi!.

MARCO BURATTI SRL
Via Roma 29
Valdellatorre (To)
Tel. 011.9680549 www.studiodentisticoburatti.it


